- 主题
- 3
- 您的身份
- 病友
- 就诊医院
- 四川省巴中市中医医院
- 病理报告
- 弥漫大b细胞(非生发中心起源)
- 目前状态
- 治疗中

您的身份病友
病理报告弥漫大b细胞(非生发中心起源)
就诊医院四川省巴中市中医医院
目前状态治疗中
最后登录2026-4-27
|
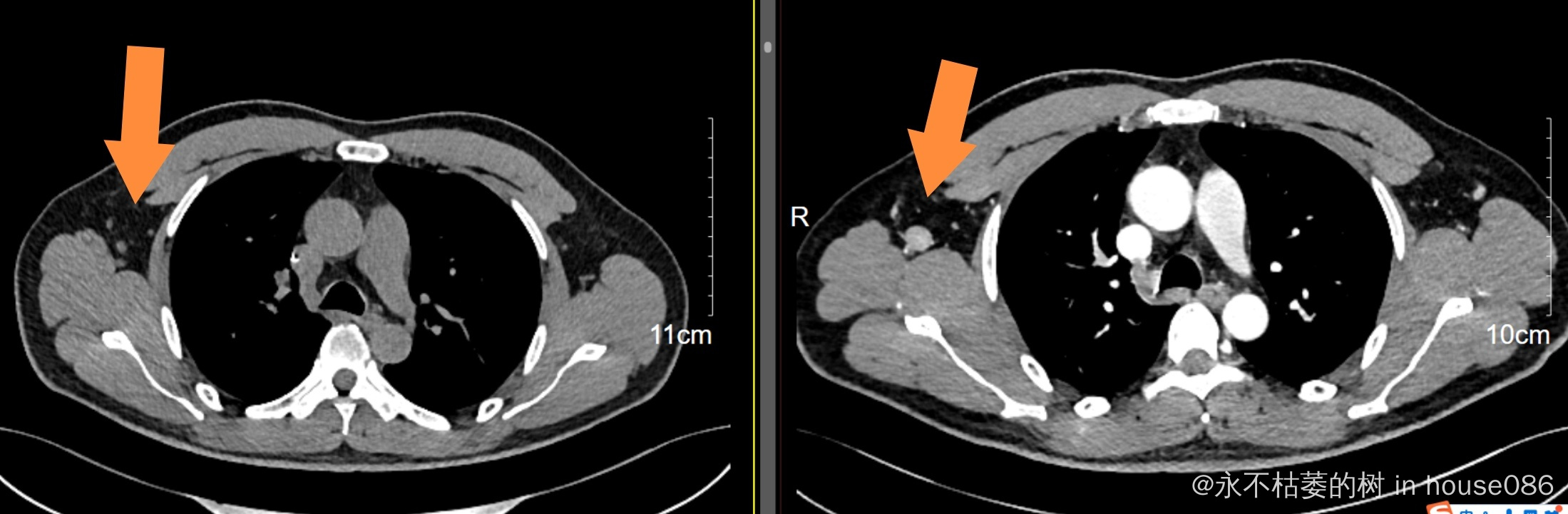
目前2周期化疗后第14天查白细胞低了,中性粒细胞0.6*10*9,打了两次短效升白针(隔天一次),第18天查恢复了,只是睡眠很差,常需要助眠药辅助睡眠,今日今日复查了颈胸腹部CT,大多数病灶都缩小了大概50-70%不等,我还是很欣慰,我是准备4周期后再做PETCT行中期评估。


|
|