搜索
查看: 218|回复: 6

活检提示“可见异型细胞团”,结节病与淋巴瘤各半概率,焦急等待免疫组化确诊中

[复制链接]

2

主题

8

回帖

24

家园豆

最后登录
2026-4-1
发表于 2026-3-24 22:06:56 | 显示全部楼层 |阅读模式 来自: 中国广东
病友们帮忙看看这是霍奇金淋巴瘤吗?

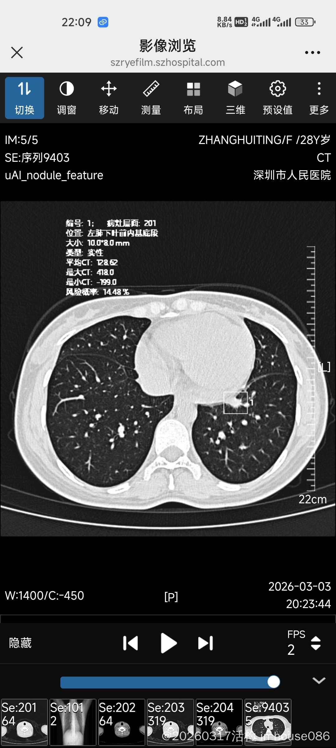
24年冬天腿痒了一年,25年冬天好了,26年1月份左右脖子长了几颗淋巴结,刚开始长出来的时候很疼,有些消了,有一个大的在锁骨上有点硬,没有消,然后元宵节期间开始咳嗽到现在,去深圳市人民医院急诊查了一下CT双肺多发实性结节,双纵膈双肺门淋巴结肿大,胸外科医生说肺部恶性概率小。

这次取了活检,医生说结节病和淋巴瘤概率各一半,这次冰冻和石蜡结果都显示可见异型细胞团,请大家看看怎么办好,还在等市人民医院的免疫组化中...









28

主题

366

回帖

1135

家园豆

您的身份
病友
目前状态
选择
最后登录
2026-4-30
发表于 2026-3-25 10:22:33 来自手机 | 显示全部楼层 来自: 中国江苏扬州
病理会诊:专家看切片
shark4001 发表于 2026-03-25 07:48
目前看病理没有看出霍奇金的关键特征,建议做病理会诊

顶顶 病理会诊很重要,这是治疗不走弯路的大前提,有需要可以找shark
回复 支持 1 反对 0

使用道具 举报

1191

主题

2万

回帖

3万

家园豆

资深病友

就诊医院
复旦肿瘤医院
目前状态
康复10-20年
最后登录
2026-4-30

一生平安康复3-5年

发表于 2026-3-24 22:26:16 来自手机 | 显示全部楼层 来自: 中国上海
希望是霍奇金
我只是个康复病友,不是专业医生,所有意见仅供参考,不作为诊断和治疗依据。想加病友群请安装淋巴瘤之家手机客户端
回复 支持 1 反对 0

使用道具 举报

10

主题

94

回帖

538

家园豆

最后登录
2026-4-30
发表于 2026-3-24 22:34:38 来自手机 | 显示全部楼层 来自: 中国上海
肺有毛刺,这迹象可能不好,抓紧肺部穿刺活检。
回复 支持 反对

使用道具 举报

2

主题

8

回帖

24

家园豆

最后登录
2026-4-1
 楼主| 发表于 2026-3-24 23:50:21 来自手机 | 显示全部楼层 来自: 中国广东
和谐的孝华 发表于 2026-03-24 22:34
肺有毛刺,这迹象可能不好,抓紧肺部穿刺活检。

胸外科医生建议活检颈部的淋巴结
回复 支持 反对

使用道具 举报

25

主题

148

回帖

222

家园豆

您的身份
病友
病理报告
经典型霍奇金
目前状态
康复1-3年
最后登录
2026-4-30
发表于 2026-3-25 07:48:11 来自手机 | 显示全部楼层 来自: 中国湖北襄阳
目前看病理没有看出霍奇金的关键特征,建议做病理会诊
回复 支持 反对

使用道具 举报

17

主题

255

回帖

1484

家园豆

您的身份
家属
就诊医院
北大人民医院
目前状态
康复0-1年
最后登录
2026-4-30
发表于 2026-3-25 11:40:15 来自手机 | 显示全部楼层 来自: 中国北京
结节病也还好。激素就能稳定控制。
回复 支持 反对

使用道具 举报

本版积分规则



同样的经历 使我们与你感同深受!

这里是病友帮病友一起度过难关的精神家园!

工作室 媒体报道


© Copyright 2011-2021. 荷小朵(北京)健康管理有限公司 All Rights Reserved 京ICP备2020048145号-5
京卫[2015]第0359号 互联网药品信息服务资格证书:(京)-非经营性-2021-0110
返回顶部 返回列表

京公网安备11010502055174号