收藏本站
工作汇报
关于我们
媒体报道
新帖
论坛
APP
手机app应用
视频
新药
活动
资料
搜索
本版
帖子
用户
登陆
注册
每日签到
基础知识
护理随访
病友故事
雨丝专栏
病友说
专家说
大讲堂
淋巴瘤日宣传片
最新进展
十周年生日会
淋巴瘤创新论坛
手册下载
生存报告
»
论坛
›
病友互助
›
新人来啦
›
爷爷91岁了,颅内多发占位性病变,怀疑是原发性中枢淋巴 ...
返回列表
查看:
723
|
回复:
2
爷爷91岁了,颅内多发占位性病变,怀疑是原发性中枢淋巴瘤,治疗该怎么选择?
[复制链接]
goodluck114
goodluck114
当前离线
主题
1
窥视卡
雷达卡
参加活动:
0
次
组织活动:
0
次
1
主题
1
帖子
23
家园豆
, 积分 5, 距离下一级还需 15 积分
, 积分 5, 距离下一级还需 15 积分
最后登录
2025-7-7
发消息
发表于 2025-1-27 15:04:43
|
显示全部楼层
|
阅读模式
来自: 中国
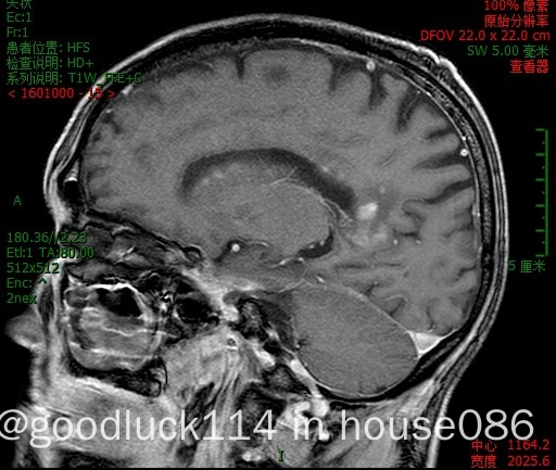
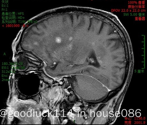
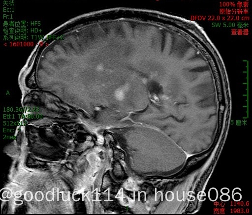
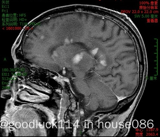
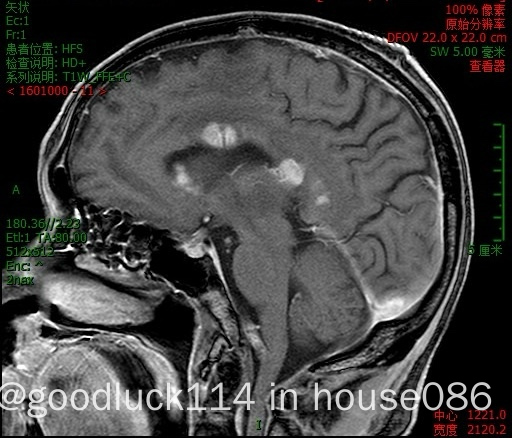
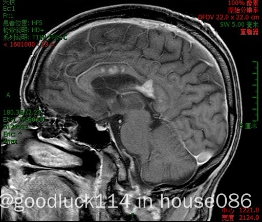
高龄取不了病理,医院做不了pet-ct,做了头颅ct和mri,发现颅内占位性病变,怀疑原发或转移,但胸部ct腹部ct和肿瘤标志物都没有明显异常,也没有除神经系统外其他系统的症状,mri增强结果不像是胶质瘤,高度怀疑是原发性中枢淋巴瘤。
这个年龄熬不过化疗,医生给的方案是单药服用奥布替尼,或者全脑放疗,或者联合。
有看到说全脑放疗的损伤很大的,不知道究竟怎么样。单用奥布替尼的损伤呢?
爷爷上周还能在关心时事看海峡两岸,这周已经不知道自己在哪里,分不清白天黑夜了。
希望病友们各个方面都给一点建议。非常感谢大家。
来自苹果APP客户端
回复
使用道具
举报
提升卡
置顶卡
沉默卡
喧嚣卡
变色卡
抢沙发
显身卡
常春藤2027
常春藤2027
当前离线
主题
217
您的身份
病友
病理报告
滤泡性淋巴瘤1-2级
目前状态
治疗中
窥视卡
雷达卡
参加活动:
0
次
组织活动:
0
次
217
主题
8829
帖子
3481
家园豆
您的身份
病友
病理报告
滤泡性淋巴瘤1-2级
目前状态
治疗中
最后登录
2025-11-10
发消息
发表于 2025-1-27 23:30:35
来自手机
|
显示全部楼层
来自: 中国江苏南京
奥布替尼如果能起作用,确实能保障两年
来自安卓APP客户端
回复
支持
反对
使用道具
举报
显身卡
常春藤2027
常春藤2027
当前离线
主题
217
您的身份
病友
病理报告
滤泡性淋巴瘤1-2级
目前状态
治疗中
窥视卡
雷达卡
参加活动:
0
次
组织活动:
0
次
217
主题
8829
帖子
3481
家园豆
您的身份
病友
病理报告
滤泡性淋巴瘤1-2级
目前状态
治疗中
最后登录
2025-11-10
发消息
发表于 2025-1-27 23:31:09
来自手机
|
显示全部楼层
来自: 中国江苏南京
高龄患者,确实办法不是很多
来自安卓APP客户端
回复
支持
反对
使用道具
举报
显身卡
返回列表
高级模式
B
Color
Image
Link
Quote
Code
Smilies
您需要登录后才可以回帖
登录
|
注册(推荐下载APP)
本版积分规则
发表回复
回帖后跳转到最后一页
关闭
站长推荐
/1
帮助办理病理会诊 只需5个工作日
快递切片,我们就能帮你会诊专家
查看 »
返回顶部
返回列表
京公网安备11010502055174号