搜索
查看: 157|回复: 2

啃最难的骨头:单形性亲上皮性肠道T细胞淋巴瘤10例经验总结

  [复制链接]

参加活动:0

组织活动:9

1164

主题

2万

帖子

3万

家园豆

资深病友

就诊医院
复旦肿瘤医院
目前状态
康复10-20年
最后登录
2025-10-28

一生平安康复3-5年

发表于 8 小时前 | 显示全部楼层 |阅读模式 来自: 中国北京
“洪飞,你好,我妈妈今年5月份确诊为单形性亲上皮性肠道T淋巴瘤,今年52岁,现在在深圳做了4次局部介入化疗,现在马上做第五次介入化疗了,我想问问这个病现在的患者多吗?到底应该怎么去治疗?”

一早小红书上一位焦急的女儿发给我消息。她之所以找到我,我想是因为我在淋巴瘤之家APP上发表了一篇关于这个类型病友治疗经历的帖子点击阅读这篇帖子,提到了已经有7位患者完成异基因移植的帖子。

尽管这个类型是罕见类型,但在帖子发出后,陆陆续续已经有近百位患者联系到我了解情况。我觉得我是应该写一下基于这些病例的一些观察感受给大家,当然,这不是一篇专业的学术论文,内容仅供参考。

文章较长,信息量比较大,末尾有彩蛋。

好吧,你成功引起了我的注意

我之所以会关注到这个罕见类型群体,也是因为去年5月份,在淋巴瘤之家上线了“淋巴瘤之家120”紧急救助热线后,陆续有危重症,复发难治患者找到了我,其中就有一个让我难以释怀的病例,这位患者的女儿小尚加到我微信,她妈妈确诊了单形性亲上皮性肠道T细胞淋巴瘤(以下简称肠道T),并切除了小肠的肿瘤,但病情进展非常迅速,联系到我的时候已经合并噬血,当地医生告知没有救治这个类型患者经验,希望我能联系到有经验的专家能收治他们。

救人如救火,我马上联系了正在休假中的主任,并安排了急诊,很快患者被评估需要进抢救室,在医生精心的救治护理下,患者一度有病情好转的迹象,然而,不到一个月的时间,患者就肝功能衰竭,离开了。

令我无法相信的是,其它类型淋巴瘤,好歹我们能打几个回合,做几个化疗让肿瘤缓解下来总是可以的,但小尚的妈妈,如此迅速的被病情吞没是我想不到的。不仅小尚的妈妈,我还见证了很多位同种分型的患者被迅速吞没的经历。

这让我对这个亚型的淋巴瘤充满了恐惧,我害怕下一个联系我的患者也是这个类型,难道这样的病友出现,我只能答复他:很遗憾,我们医学还没有办法?那我们120的这条通道有什么价值呢?

我开始和医生们讨论这个亚型,怎么能做点努力,减少一些这样的悲剧发生?

前人经验要听一听

医生提出,只有异基因移植,而且要快!要想办法将肿瘤尽可能的缓解下来后马上进仓移植。

做出这样的判断并不是拍脑袋的,我们大量复习文献报道,发现这个类型常规治疗效果非常差:

手术+-化疗,中位生存期仅6个月,而出现过肠穿孔的中位生存期仅4个月,总体2年生存率在10-15%左右。这是一组多么令人伤心与绝望的数字。

1.png
数据来源:Haematologica. 2023 Jan 1;108(1):181-195.

据Haematologica报道,欧洲一项多中心回顾研究发现,63例单形性亲上皮性肠道T细胞淋巴瘤患者,2年OS仅为15%1。

异基因移植是这类患者长期缓解的唯一希望。为什么这么说?韩国首尔的Mary血液病医院在Frontiers in Oncology 发表了一篇名为2:干细胞移植改善单形性亲上皮性肠道T细胞淋巴瘤结局的相关回顾性研究分析,数据显示:35名肠道T患者,其中14名患者最终接受了自体/异基因移植,其中3名患者一线治疗后直接异基因移植并实现了全部存活;复发/难治的6名患者接受了挽救性异基因造血干细胞移植,4名患者取得CR(2名至今存活,2名脓毒症死亡),剩下2名进展后死亡,最久的一位移植患者已存活11年,而未能接受干细胞移植的患者,5年生存率则为0。

那么为什么不是自体移植?我们来看下自体移植数据:4名1线治疗后行自体移植的患者,全部复发进展死亡,1名复发/难治性患者行挽救性自体移植+CIK疗法后存活。可见,自体移植存活是非常低概率事件
2.png
数据来源:Frontiers in Oncology. 2024 14:1388623;图片看不懂的可以长按翻译

那么,能否先让患者做自体移植,失败了再异基因移植呢?

文章中提到:我们一开始的策略确实是想着能先自体移植,复发了再做异基因移植,但这个类型的恶性度高,化疗不敏感,自体移植复发后难以控制疾病进展,让我们没有机会给病人再做一次异基因移植。因此,近几年新确诊的患者都是一线直接行异基因造血干细胞移植,也取得了很好的结果。

这篇文章里的移植样本并不大,但不做异基因移植的,几乎都死亡(仅1例自体存活),生存率的差异已经足够显著。异基因移植的移植抗宿主作用发挥出了强大的肿瘤控制能力,这是自体移植完全不具备的优势。

明确了这个思路,那就后面再有患者呼救,朝着异基因移植这个方向努力吧。

试试就试试

转眼到了秋天,第一位“吃螃蟹”的患者出现了,2024年9月,袁姐的儿子联系到了我,希望能再救救她的妈妈,经历了西达本胺+CMOP和戈利昔替尼+GEMOX 2个方案后肿瘤依然在进展的袁姐本来已经放弃了,但是不想失去妈妈的儿子一再坚持,终于让她决定再上北京试试。

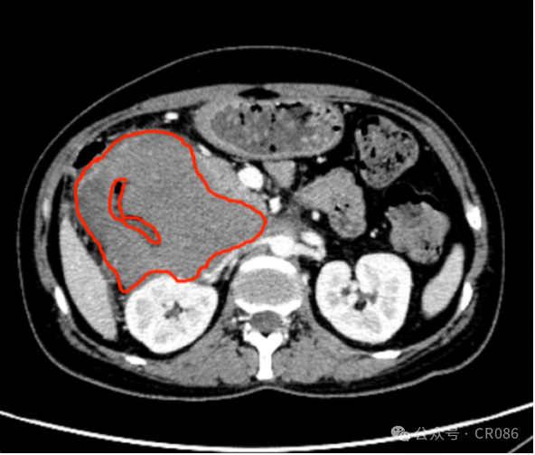
11月,袁姐住进了病房,做了CT检查,肿瘤最大横截面大小:9.9*9.5cm。妥妥一个“小柚子”,这么巨大的肿瘤真是不由让人倒吸一口凉气,难怪医生已经放弃努力。

3.png
2024.11.06 红色圈出部分为肿瘤。

安顿好袁姐住院后,我就投入到其它病友的120救助中去了,后面的工作就全交给医生了,我也没有去问过她儿子情况如何,主要是也不敢问,怕听到不好的消息,谁又能想到后面发生的一切呢?

不出所料的惊喜

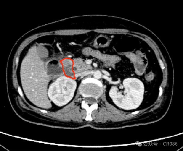
11月底,移植科医生发了一张CT影像报告给我,说:“洪飞,你还记的这个病人么?肿瘤已经快没了!”我对照了一下病情,不敢相信自己的眼睛。是的,袁姐之前半个腹腔的巨大肿瘤,在CT上已经只有一点点残留影子了。

4.png
2024年11月25日 2轮维奈克拉联合方案后

我问医生,怎么做到的?“很简单,我们用了维奈克拉联合的化疗方案”。他轻描淡写的得瑟着自己的成果。

“加了个维奈克拉,疗效就这么好么?”我问道。“是的,我们看了文献,这个类型,普遍是BCL-2高表达的,所以我们用BCL-2抑制剂维奈克拉来联合,理论上可以提高减瘤的效果,而实际上,这个疗效也足以说明问题。

下一步,进仓!。没想到一篇2014年的文献,给到了关键性的启示。

5.png
数据来源:Hum Pathol. 2014 Jun;45(6):1276-84.

随后,袁姐接受了TBI预处理放疗,并采用了子供母的半相合移植,2025年1月出仓后准备行CT评估,剩余那一点能消失么?

移植科医生告诉我“下午做CT,等好消息”。这么自信的么?我就守着手机等消息,因为是第一例异基因移植,加上之前肿瘤那么巨大,能否缓解彻底我是非常没底的。

不久,传来好消息,CT结果显示完全缓解。我把三次评估CT再放一下,大家感受下这个蜕变的过程。
6.png
CT评估是缓解了,要想更进一步确定,还需要肠镜(非常重要)和PET-CT双重复核,最终顺利通过,结果都是完全缓解,肿瘤就像没发生过一样干净。

医生说:我们的全身TBI放疗可以进一步深度清理残留肿瘤,并完成清零。这样预处理化疗方案就可以相对自体移植弱一些,患者不会太难受,干细胞植入也更顺利。预处理方案也是我们十多年来治疗外周T细胞淋巴瘤,肝脾T细胞淋巴瘤等屡试不爽摸索出来的药物组合,所以我们非常有信心让患者取得完全缓解。

微信图片_2025-10-28_105605_865.png
来欣赏下完美的PET-CT影像图吧,截至目前,袁姐依然保持完全缓解状态。

来,COPY 黏贴吧

1个袁姐的成功可能是侥幸,个例,但是一群“袁姐”成功,就不能用侥幸来解释了。

截至目前,已经有10位患者接受了维奈克拉的联合方案,其中8位患者已经完成异基因造血干细胞移植,移植前评估由于都只是接受了CT的评估,谨慎的给予了PR的疗效评价,而移植出仓后,都接受了PET-CT,肠镜检查,评估疗效为CR,无复发相关死亡。

遗憾也是有的,有2例合并症死亡:1例急性心梗死亡,1例腺病毒感染死亡。倒是没遇到韩国文献里报道的2例脓毒血症的死亡。这两例死亡,无论医生怎么复盘,在医疗程序和治疗上都是没有问题的,有些意难平的遗憾似乎怎么也躲不过去。

8.png
维奈克拉联合方案治疗肠道T患者效果统计

截止目前,存活最久的患者已经达到近700天,中位OS尚未达到。明年这个时候,随访数据会更加完善,届时我会在文章底部和大家更新。

这10位患者的尝试,可以说淌出来了一条高效桥接异基因移植的路。在韩国文献中,35名患者中只有14名有机会接受移植,而维奈克拉联合的方案显示出了很好的肿瘤控制能力,为异基因移植创造了机会。

据医生反馈,出仓后的患者也经历了一些不同程度的GVHD,排异反应总体安全可控。

有些病友总会问我异基因移植安全么?我想风险要有个参照对比,相比未移植患者几乎全部死亡的风险,GVHD带来的10%左右的死亡风险,显得就完全可以接受了。

在和这10个家庭接触的过程中,感受到了每个患者和家人们的勇气,毕竟异基因移植对淋巴瘤患者来说没有那么熟悉,不像白血病患者一确诊可能就接受这个治疗方式了。这也是很多患者找到我,但也没有最终选择走这条路的原因之一。我希望在不久的将来,我们这些患者积累出来的数据,活生生的案例,能成为那些在绝望中寻找一丝希望的患者们的光。

简单说几个关键点

01 CHOP方案合适么?不是首选

复习文献,韩国的文献里CHOP,CHOPE类方案都被作者嫌弃并diss了,因为用这个方案的没有一个病人获得完全缓解!那么为什么我们还在用这个方案?我们的指南到底是怎么建议的?

我翻看了CSCO指南,没有找到相关章节...大家可能还是在参考外周T来治疗,但它又比外周T恶性度高很多,消化道穿孔的风险很高,作为一种罕见类型的淋巴瘤,确实国内还没有共识。韩国文献中作者比较推荐含有异环磷酰胺的方案。

另外,通过这10个病例的经验总结:化疗疗程尽量控制在3-4个疗程以内,不可恋战,见好就收,能获得较好的PR就要知足,马上转去异基因移植。过去那种打满6个疗程的做法,在这个类型上,是行不通的,会有较大风险出现疾病进展,错失移植窗口时机。

02 自体还是异体移植?听听国际指南的建议

2025年,柳叶刀旗下Lancet Haematol杂志发表文章《Allogeneic haematopoietic cell transplantation in peripheral T-cell lymphoma: recommendations from the EBMT Practice Harmonisation and Guidelines Committee》3文章是来自欧洲EBMT专家组对外周T细胞淋巴瘤的移植指导建议。

2024 年 5 月,EBMT 淋巴瘤工作组任命 2 名项目负责人,召集来自 12 个国家、在 T 细胞淋巴瘤和异基因移植领域具有专业知识的 29 名欧洲专家给出了这个类型的推荐:对于具备条件的初治患者,做异基因造血干细胞移植准备。这里的具备条件,是指年纪在65岁以下,体能状态尚好,合并症指数不高于3分,能找到合适的亲属供者,或者骨髓库有可捐献造血干细胞的志愿者

注意:这个是否具备条件,要找可以做异基因移植的医生评估,而不是自己评估或者仅仅是化疗医生评估。不做异基因移植的医生,有时候对异基因移植的恐惧并不比患者少。而经验丰富的异基因移植医生可能能给你更多是否适合移植的信息。兼听则明,偏听则暗。

9.png
资料来源:Lancet Haematol 2025; 12: e542–54

03 肠穿孔怎么办?及时发现,及时处理

回到故事开头的第一个女儿的呼救,在和我联系后两天,原定要前往北京治疗,但又想在当地继续治疗一下再走,没想到第四次化疗引起肠穿孔,但管床医生并未重视患者的腹部疼痛和发烧的反馈,几天后,才安排检查发现是糜烂穿孔,而腹腔此时已经感染严重,外科医生也表示手术难度太大,不建议手术了,肠穿孔是肠道t病人死亡的主要原因之一。

因此,患者和家属要警惕治疗中的腹痛,及时汇报主治,及时发现,尽早手术,还是有机会再接受治疗的。

在我们10位尝试新方案的患者中也有一位患者一个疗程后发现肠穿孔,腹痛马上汇报医生后及时手术后再次接受化疗和异基因移植。目前保持完全缓解状态,患者女儿还夸妈妈是自己走着去复查的。曾经母女两哭着问我还有没有机会的画面历历在目,真是轻舟已过万重山的感觉。

04 治疗中进展怎么办?放疗考虑下

在维奈克拉联合的方案应用中,尽管病人可以获得较好的PR,甚至CR的结果,但在桥接到移植的阶段,依然有患者因为等待仓位过久,或者等待供者太久而出现进展的情况的发生,这时候,放疗可能是个不错的选择。

据文献报道,日本冲绳县有一位患者,因为肿瘤过大,担心肠道穿孔,选择了放疗的姑息性治疗,由于放疗可以控制照射角度和放疗剂量,从而降低穿孔风险,这位患者成功实现了减瘤的目标:10.8×6.1×13.1cm→6.8×4.2×2.8cm,并暂时恢复了行动能力4。

在找到我的10位患者中,也有移植进仓前发现肿瘤进展,并补了放疗照射后缩小肿瘤,实现进移植仓后CR出仓的病例,照射剂量建议控制在20Gy。

病 例 启 示

1. BCL-2抑制剂维奈克拉加入的联合方案可能是解决肠道T患者化疗不敏感的关键药物。

2. 患者出现不明原因的腹部疼痛,要及时反馈医生,排除肠穿孔可能。

3. 异基因移植是这个类型患者获得长期生存的关键治疗手段。

参考文献
1.Min GJ, Oh YE, Jeon Y, et al. Front Oncol. 2024 Nov 21;14:1388623.2.3.4.
2.Veloza L, Cavalieri D, Missiaglia E,et al. Haematologica. 2023 Jan 1;108(1):181-195.
3.Damaj G, Bazarbachi A, Berning P, et al. Lancet Haematol. 2025 Jul;12(7):e542-e554.
4.Kusada T, Ariga T, Kina K, et al. Palliat Med Rep. 2022 Nov 3;3(1):272-278.

撰稿作者    洪 飞

我只是个康复病友,不是专业医生,所有意见仅供参考,不作为诊断和治疗依据。想加病友群请安装淋巴瘤之家手机客户端

参加活动:0

组织活动:0

3

主题

16

帖子

148

家园豆

最后登录
2025-10-28
发表于 7 小时前 来自手机 | 显示全部楼层 来自: 中国
病理会诊:专家看切片
不幸之中的万幸是遇见您
回复 支持 反对

使用道具 举报

参加活动:0

组织活动:0

18

主题

662

帖子

4750

家园豆

您的身份
病友
最后登录
2025-10-28
发表于 2 小时前 来自手机 | 显示全部楼层 来自: 中国福建
回复 支持 反对

使用道具 举报

本版积分规则


关闭

站长推荐 上一条 /1 下一条

同样的经历 使我们与你感同深受!

这里是病友帮病友一起度过难关的精神家园!

工作室 媒体报道


© Copyright 2011-2021. 荷小朵(北京)健康管理有限公司 All Rights Reserved 京ICP备2020048145号-5
京卫[2015]第0359号 互联网药品信息服务资格证书:(京)-非经营性-2021-0110
返回顶部 返回列表

京公网安备11010502055174号